

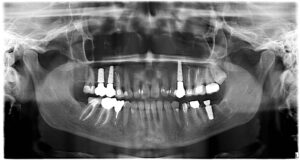
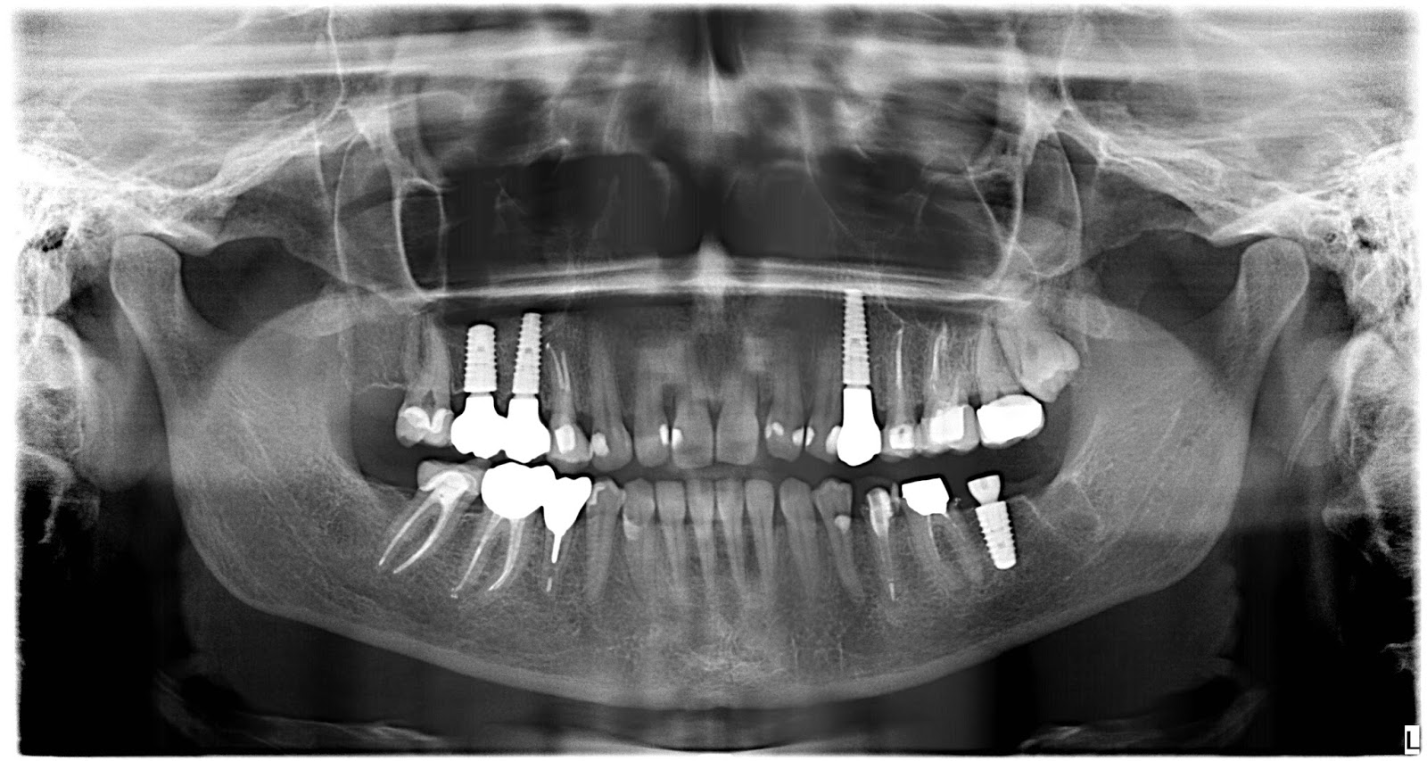
Tak tohle je mé intraorální já.
Pomalu zakončuju svoji dva a půl roku trvající stomatologickou misi. Řekla bych, že jsem v zubařském křesle strávila nějakou tu stovku hodin. Jen tenhle týden v pondělí pět a dnes dvě hodiny.
Mám radost, že jsem se k tomu odhodlala a že jsem díky své kamarádce, která si vytřískala v závodě na kolečkových bruslích přední zuby, našla i já svého (jejího) zubaře.
Sice bych za ty peníze měla asi notebook ze zlata, jenže genetika naší rodiny (co se zubů týče) je hodně neúprosná. A psát se dá přinejhorším i propiskou.
Tento týden byl celkově zdravotně náročný, samé obchůzky a kontroly.
Zajímavý je, že u každýho specialisty vždycky zjistím, že buď mi něco chybí nebo přebývá.
Radši nikam nechodit!
5 komentářů
Nechodím!
Nuž, takto je to tvoje ja aj pekne industriálne.
To je tema, ktere zrovna resim- implantaty a doplneni kosti.. Nechtelo by se vam napsat vic, na netu nejsou nici osobni zkusenosti… A zubare by jste mohla doporucit vim ze jste ho kdysi tady zminila, ale nepodarilo se mi to dohledat…. Dekuju a preju at zdravi pribyva☺
Napište mi, prosím, na mail: lucie.smich@seznam.cz
http://Www.Stomatologie-ujec.com Jana ��
Překontrolovat eToro, největší sociální investiční síť na světě, kde miliony klientů vydělávají kopírováním obchodních rozhodnutí našich nejlepších obchodníků.
Obchodujte kdekoliv Čas jsou peníze. Obchodujte na počítači, mobilu a tabletu
Otevřené obchody na eToro – 227,651,647